上班久坐之后
大家是不是经常感觉
浑身乏力、腰酸背痛?
不少人选择针灸理疗
来给身体“松松绑”
不过,最近却有人因针灸
把自己送进了抢救室
↓↓↓
针灸后
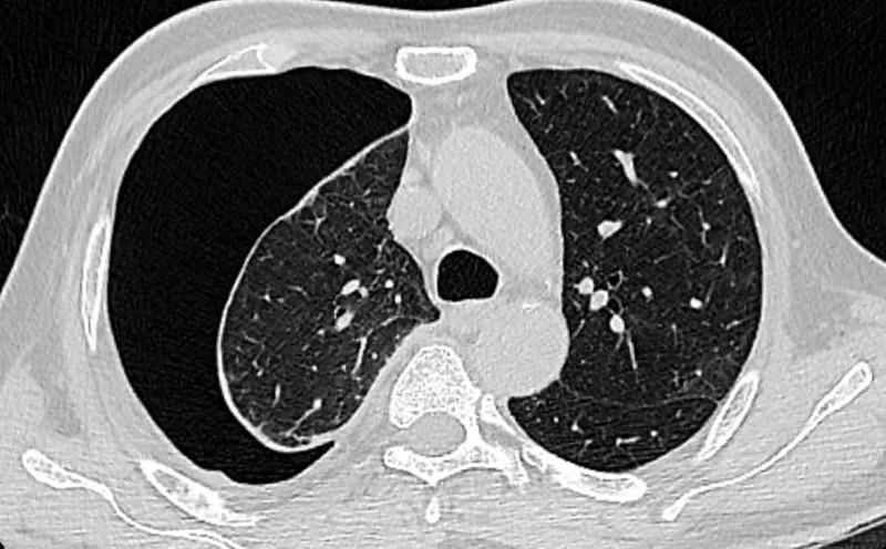
26岁女子近半个肺缩没了
近日,26岁的小玲(化名)因伏案久坐导致腰酸背痛,前往家门口的养生馆接受理疗。理疗师告诉她肩颈部有淤堵积滞,需要通过针灸来“疏通”。

所谓的“师傅”在她的肩膀、后背等处连扎几针,没想到几个小时后,小玲开始出现咳嗽、胸口发闷并伴有疼痛,到了晚上甚至出现呼吸困难,随后被紧急送往医院急诊抢救。
医生检查后发现,小玲的右肺像气球一样被扎破了,胸腔内充气形成右侧气胸,右肺已被压缩40%,必须立即进行手术将漏气“放出”。
“还好抢救及时,搞不好会活活憋死。”小玲事后回忆起来仍心有余悸,冷汗直冒。
针灸不当
为何会引发气胸?
医生介绍,中医临床上有“腹部深如井,背部薄似饼”的说法,用以指导针刺的深度。一些位于胸口、背部、肩胛骨、锁骨周边的穴位,距离肺部表面可能仅有1-2cm,针刺过深或方向不当容易刺伤肺脏。
医生提醒,接受针灸、按摩等治疗时,务必前往医院或正规医疗场所。正规的中医师不仅具备中医知识,还要掌握解剖学、影像学等西医知识,并在施针时严格遵守操作规范,包括针刺的角度、深度、强度。普通人切勿随意施针,以免发生意外。

体型瘦高的人群、本身有慢性肺病的患者,在接受胸背部针灸时更要特别小心。若出现不适症状,要警惕气胸可能,及时到医院就诊。严重的气胸如果处理不及时,患者可能因呼吸、循环衰竭而危及生命。
气胸的常见症状
呼吸困难:气胸发作时患者常出现呼吸困难症状,其严重程度与发作过程、肺被压缩的程度和原有肺功能状态有关。
胸部疼痛:胸部疼痛通常是突发性的,可能出现在背部或腋下,表现为持续性的尖锐疼痛或是刀割般痛感。
咳嗽:部分患者会出现刺激性的咳嗽。
针灸在我国已有数千年的历史
它可以治疗多种疾病
但并非任何人、任何时候
都适合针灸↓
针灸虽好
这些注意事项要牢记
针灸前
1. 一定要选择正规可靠的医疗机构。
2. 不能在饮酒大醉、劳累、过分饥饿等情况下进行针灸。
3.不要憋尿,避免针灸腹部时对膀胱产生刺激。
4. 女性接受针灸,除非是治疗月经疾病,否则经期不宜针灸。
针灸时
1. 针进入皮肤之后,如果再次感到疼痛,可能是针尖碰到了血管,应立即告诉医生,以便调整针刺方向,避开血管。
2. 留针期间肢体不宜再动,以免发生折针、针体移位等不良后果。
3. 使用烤灯或艾灸时,穴位局部应保持舒适的温热感,如感觉太热,要及时告知医生,以免造成烫伤。

针灸后
1. 针灸后应注意皮肤清洁,避免针口感染。
2. 不可立即洗澡、洗头、接触冷水、外出吹风或吹空调,否则患者可能会出现类似外感的症状。
3. 针灸后要进行充分休息,避免剧烈运动。
4. 避免搔抓、摩擦针灸过的部位,以免引起损伤,甚至感染。
有关针灸的4个误区
1 扎针针数越多越好❌
“大夫,多给我扎几针,好得快吧?”这种观点是错误的。针灸是根据经络理论辨证取穴,讲究少而精。医生会根据患者不同的疾病特点,选择最适合的施针方案。

2 留针时间越久越好❌
留针的意义在于保持并加强针灸的持续作用,但其时间长短需根据患者的年龄、病情(寒热虚实)、体质强弱等因素来决定。
3 针灸只能治疗慢性疾病❌
针灸可用来治疗各种急慢性疾病,包括内、外、妇、儿、五官等各科疾病。

针灸擅长治疗哪些疾病?
急慢性痛症:牙痛、头痛、关节痛,以及其他原因引发的各种疼痛。
神经类疾病:面神经麻痹、股外侧皮神经炎、神经痛以及神经退行性病变等。
皮肤病:顽固性皮肤病,如带状疱疹、神经性皮炎、痤疮等。
消化道疾病:胃炎、胃胀等,还可缓解顽固性便秘和腹泻。
儿童疾病:小儿消化不良、小儿易感等常见病。
4 扎针容易感染❌
正规医疗机构均使用一次性针灸针,消毒过程极为严谨,不容易造成感染。
哪些人不宜针灸?
糖尿病、严重心脏病、高血压处于剧烈波动期人群;
凝血功能障碍人群,如血友病、血小板减少性紫癜等;
有皮肤感染、溃疡、骨关节急性感染、肿瘤、白血病等人群;
身体极度虚弱、大汗、大出血、病情危重(急救除外)患者。
针灸传统中医疗法
适应证广泛
但不是随随便便就可以做
国家应急广播提醒
接受针灸治疗
要到正规医疗机构诊治
谨遵医嘱,切莫乱来
来源:央视新闻
一审:王辰琛
二审:陈玲
终审:汪洋